
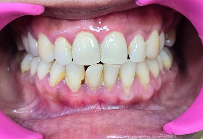
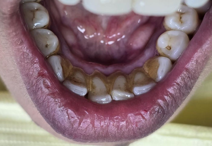
Every smile deserves gentle, thorough care—explore our EMS Guided Biofilm Therapy (GBT)
cases and see how patients leave with cleaner, healthier, and brighter smiles.
Experience painless, precision cleaning that goes beyond routine scaling and protects your teeth and gums.
See how EMS GBT can transform your oral health for you and your family.
| Feature | EMS Guided Biofilm Therapy (GBT) | Routine Scaling & Polishing |
|---|---|---|
| Comfort | Completely painless, zero sensitivity | Can cause discomfort or sensitivity |
| Technology | Uses advanced Swiss EMS device with guided biofilm visualization and airflow polishing | Manual or ultrasonic scaler with basic polishing |
| Cleaning Precision | Targets biofilm, plaque, and stains on teeth, gums, implants, and braces with digital guidance | Primarily removes surface deposits; may miss hard-to-reach areas |
| Enamel Protection | Gentle on enamel and soft tissues | Can sometimes damage enamel or gums if done aggressively |
| Treatment Coverage | Comprehensive full-mouth cleaning including gum pockets, implants, and orthodontic appliances | Limited to visible surfaces and gum line |
| Effectiveness | Removes deep-seated biofilm, improves gum health, reduces sensitivity, and enhances tooth brightness | Basic cleaning; less effective for deep biofilm and stubborn stains |
| Frequency Recommendation | Safe and effective for annual or bi-annual family care | Often recommended every 6 months but less thorough for sensitive patients |
Take the First Step Towards a Painless, Healthy Smile
Experience zero-sensitivity, precision dental cleaning for you and your family. Protect your teeth, strengthen your gums, and enjoy a naturally bright, confident smile—all in a comfortable, stress-free session.