Metal & Ceramic Braces in Delhi – Reliable Orthodontic Treatment for Perfect Alignment

Orthodontist-Supervised Treatment

Starting at ₹25,000


Traditional Braces

Traditional Braces – The Most Reliable Way to Straighten Teeth

For decades, orthodontic braces have been the most effective and predictable way to correct crooked teeth, bite problems, and jaw alignment issues.
At Goel Dental, braces treatment is planned and supervised by a qualified orthodontist, ensuring safe tooth movement and long-lasting results.
Today’s braces are smaller, smoother, and more comfortable than older designs. Patients can choose between classic metal braces for durability or ceramic braces for a more discreet appearance.
Whether you are a teen, adult, or parent seeking braces for your child, orthodontic treatment can transform not just your smile—but your oral health and confidence as well.

500+

Smile Transformations

Free

Consultation

25k

Starting

X-Ray, OPG

& 3D Scan

Braces Transformations – Real Patient Results

See how braces treatment at Goel Dental has corrected crowded teeth, gaps, and bite problems for patients across Delhi.

Why Goel Dental for Braces Treatment in Delhi


Quick Braces Overview

Many patients want to know the treatment duration, cost, and suitability of braces before starting orthodontic treatment.

  • Treatment Duration 6 – 24 months depending on alignment complexity
  • Starting Cost
    Metal Braces – ₹25,000
    Ceramic Braces – ₹40,000
  • Suitable For Children, teenagers, and adults
  • Appointment Frequency Adjustments every 3 – 4 weeks
  • Specialist Orthodontist

What Braces Can do

Orthodontic problems often develop gradually and may not always be obvious.

Braces can correct:
  • Crooked or overlapping teeth
  • Gaps between teeth
  • Teeth that protrude outward
  • Difficulty biting or chewing
  • Upper teeth excessively covering lower teeth (overbite)
  • Lower teeth positioned ahead of upper teeth (underbite)
  • Jaw discomfort due to bite misalignment
  • Uneven or irregular smile

Why Orthodontist for Braces

Orthodontic treatment requires specialized training to control tooth movement safely and achieve stable results.

Advantages of orthodontist-supervised treatment include:
  • Detailed bite and jaw analysis before treatment
  • Customized orthodontic treatment planning
  • Controlled tooth movement that protects enamel and gums
  • Regular monitoring throughout treatment
  • Stable long-term results after braces removal

Choosing an orthodontist ensures braces treatment is safe, precise, and effective.



Braces Treatment Journey at Goel Dental

Understanding the treatment process helps patients feel more confident about starting braces.

Braces treatment in Delhi

Orthodontic Consultation

We evaluate tooth alignment, jaw position, and bite relationship.

Inclinic facility for Full mouth Xray)

Diagnostic Records

Digital X-rays, 3D scanning, Models and Photographs help create a precise orthodontic treatment plan.

Braces treatment planning

Customized Treatment Plan

Orthodontist determines the best braces option, duration and price.

Braces by Orthodontist

Braces Placement

Brackets are attached to teeth and connected with orthodontic wires that guide teeth into alignment.

Braces treatment

Periodic Adjustments

Adjustments are done every 3–4 weeks to gradually move teeth.

In house retainer

Braces Removal and Retainers

After teeth are aligned, braces are removed and retainers help maintain the new position.



Types of Braces Available

Patients today have multiple orthodontic options depending on their preferences and aesthetic needs.


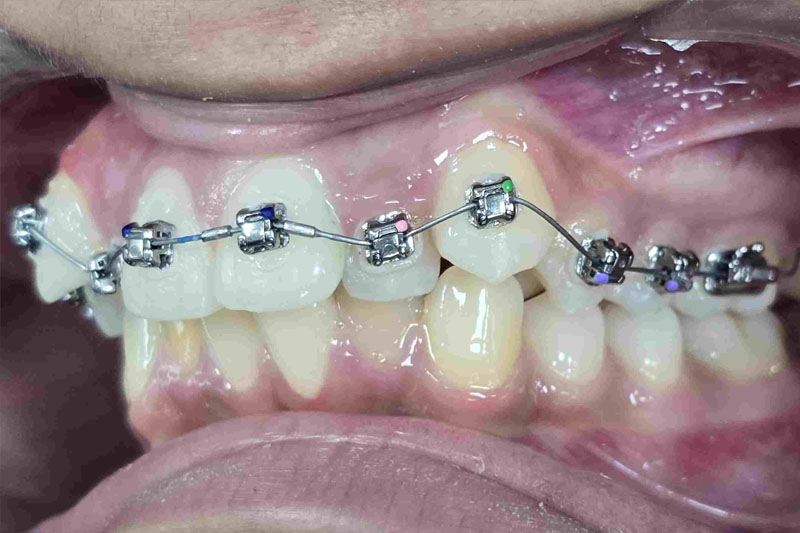
Metal Braces

Metal braces are the most traditional & durable orthodontic solution.
Advantages include:
  • Highly effective for complex cases
  • Strong stainless steel brackets
  • Most economical braces option
  • Suitable for teenagers and adults
Cost of Metal Braces ₹25,000 – ₹45,000 depending on case complexity
Inclusions (Consultation, Full mouth X-ray, Impressions, Photographs, 3D scan, Pre-treatment teeth cleaning & polishing, non-surgical tooth extraction up to 2, braces attachment and braces removal, one set of retainers).
Low Cost Metal Braces


Teeth Colored Braces

Ceramic Braces

Ceramic braces work similarly to metal braces but use tooth-coloured brackets, making them less visible.
Benefits include:
  • More aesthetic appearance
  • Blend with natural tooth colour
  • Comfortable design
  • Popular among adults
Both metal and ceramic braces can deliver excellent orthodontic results when properly supervised by an orthodontist.
Cost of Ceramic Braces ₹45,000 – ₹65,000 depending on alignment requirements
Inclusions (Consultation, Full mouth X-ray, Impressions, Photographs, 3D scan, Pre-treatment teeth cleaning & polishing, non-surgical tooth extraction up to 2, braces attachment and braces removal, one set of retainers)

How Long Does Braces Treatment Take?

Treatment duration depends on the severity of alignment problems.
Typical timelines:
  • Mild corrections – 6 to 9 months
  • Moderate alignment issues – 12 to 18 months
  • Complex bite corrections – 18 to 24 months
Regular orthodontic adjustments ensure teeth move gradually and safely.

Braces for Children, Teenagers and Adults

Braces treatment can benefit patients of different age groups.


Braces for children in Delhi

Braces for Children

Early orthodontic treatment can guide jaw growth and prevent more severe alignment issues later.

Teeth alignment with Braces

Braces for Teenagers

Teen years are the most common time for braces treatment because teeth and jaw structures are still developing.

Teeth alignment with Braces in adults

Braces for Adults

Many adults choose braces to improve both smile aesthetics and oral health.


Modern braces are smaller and more comfortable, making adult orthodontic treatment easier than ever.

Your Straighter Smile Starts Here

Take the first step toward a healthier, more confident smile with orthodontic braces treatment at Goel Dental, Malviya Nagar, Delhi. Whether you choose metal braces or ceramic braces, our orthodontist-supervised treatment is designed to gradually align your teeth and improve your bite for long-lasting results.
Start your journey toward a beautifully aligned smile today.


What Our Patients' Say



SMILES That Speak for Themselves

At Goel Dental, every smile tells a story of trust, care, and excellence. Our strength lies in genuine, patient-first dentistry—backed by advanced technology, transparent pricing, and results that last. From local families to international patients, countless people have chosen us to design their confident smiles.
We know how to get it right first time, ensuring long lasting outcomes you can trust.