Restore missing teeth with a seamless, natural-looking solution

Cosmetic Dental Bridge in Delhi

Fixed, Natural & Durable!

Same day tooth bridge in Delhi, Emaxtooth bridge in Delhi, Natural and low cost bridge, Smile with bridge

Bring Back Your Complete Smile with Dental Bridges

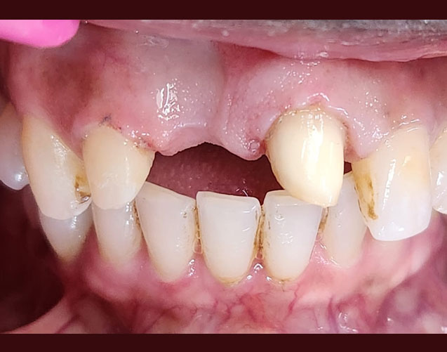
A missing tooth (or multiple teeth) can affectmore than just your smile—they can impact speech, chewing ability, and even your facial structure. At Goel Dental, our cosmetic bridges close these gaps with precision, restoring function and aesthetics in a single treatment.
Crafted with CAD/CAM technology and metal-free ceramics (Porcelain, Zirconia, E.max), bridges are customized to blend with your natural teeth while offering durability and strength.
With proper care, your bridge doesn’t just replace a missing tooth—it restores balance, harmony, and confidence to your entire smile.

Crafted

in 60 – 90 minutes

Fixed

& Natural Looking

Replace one

or more missing teeth

Backed by

10 year warranty

Sunday

Appointment Available


What is Porcelain and Zirconia Bridge?


Porcelain (Emax) Bridge

Our Porcelain bridges are ideal for patients seeking a smile that looks as natural as possible.
  • Superior Aesthetics – Translucency mimics natural enamel
  • Strong Through Bonding – Secure and long-lasting
  • Ideal For Front Teeth – Perfect for visible smile zones
  • Minimal Tooth Prep – Preserves maximum natural structure

Zirconia Bridge

Zirconia bridges are perfect for patients who prioritize strength without compromising on aesthetics.
  • Unmatched Strength – Handles high bite forces, ideal for molars
  • Durable& Reliable – Resistant to wear and fractures
  • Metal-Free & Biocompatible – Safe for sensitive patients
  • Long-Lasting – Designed to function for over a decade

Why Patients Trust Us for Cosmetic Dental Bridges in Delhi


Replacing missing teeth is not just about filling a gap — it’s about restoring confidence, function, and long-term oral health. At Goel Dental, every bridge is designed with the perfect balance of strength, precision, and natural appearance. Here’s why patients choose us:
One-Visit Smile Restoration – With advanced CAD/CAM technology, we can design and place bridges upto 3 unit in a single appointment.
Seamless Fit & Natural Look – Each bridge is digitally customized for size, shape, and shade, blending invisibly with your existing teeth.
Restores Chewing & Speech – Bridges are more than cosmetic; they bring back proper bite function and comfort.
Protects Oral Health – Prevents surrounding teeth from drifting or overloading, keeping your bite stable.
Durable Investment – Porcelain and zirconia bridges are designed to last 10–15 years with proper care.
Trusted Experience – Thousands of crowns and bridges placed, backed by a team known for precision and artistry.
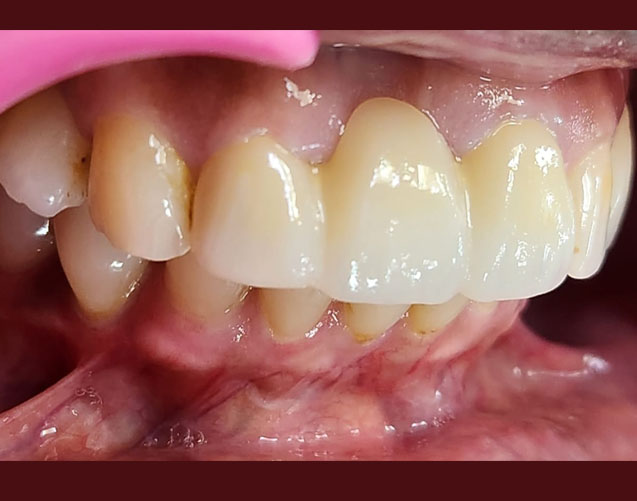
At our clinic, a dental bridge doesn’t just replace teeth — it restores your smile’s natural harmony.

Porcelain & Zirconia Bridge with CAD/CAM Accuracy - Know More

With step wise approach, we create precise porcelain and zirconia bridge upto 3 in just one visit and longer bridges in two sessions—no messy moulds, no multiple trials, only a perfect bridge every time.

Consultation for Bridge

Consultation & Planning

Your journey starts with an evaluation of your missing teeth, gums, and bite. We help you choose between porcelain, zirconia, or hybrid bridges.

Intraoral scanning

Digital Scan

Our 3D CAD/CAM scanner captures precise digital images of your teeth for a perfect bridge fit.

Missing front teeth

Bridge Design & Customization

Each bridge is digitally designed to ensure natural contour, size, and color.

Single day teeth bridge

Same-Day Fabrication

Using advanced CEREC technology, we mill your bridge chairside, eliminating multiple visits.

Front teeth bridge

Placement & Bonding

Your bridge is securely bonded, restoring both beauty and function in a single sitting.



International patient for Bridge

Happy patient after bridge

Restoring Smiles in Delhi with
Precision-Made Dental Bridges

At Goel Dental, Dr. Shikha Goel combines years of expertise with advanced technology to deliver cosmetic dental bridges in Delhi that are strong, natural-looking, and built to last. Patients receive premium-quality care at costs comparable to standard clinics.
Unlike many practices that outsource design and fabrication to external labs, every bridge here is personally designed and overseen by Dr. Shikha This direct involvement ensures restorations that truly match your needs—offering superior fit, function, and aesthetics.
A dental bridge must fit with precision—not just for looks, but also to protect teeth, maintain bite alignment, and support long-term oral health.
For complex cases, such as replacing multiple adjacent teeth, we use CEREC CAD/CAM precision and 3D printing to create bridges that blend seamlessly with your smile.
While same-day porcelain and zirconia bridges are available, our priority is always accuracy, comfort, and results that feel asnatural as your own teeth.
warranted tooth bridge

10-Year Warranted Bridges for Confidence & Comfort


Every porcelain and zirconia bridge is backed by a 10-year warranty, ensuring reliability, peace of mind, and long-term satisfaction.



Ready to Fill the Gap in Your Smile?

Don’t let missing teeth affect your confidence. With cosmetic bridges at Goel Dental, you’ll regain a complete smile, full chewing ability, and natural aesthetics—all in one visit.


What Our Patients' Say



SMILES That Speak for Themselves

At Goel Dental, every smile tells a story of trust, care, and excellence. Our strength lies in genuine, patient-first dentistry—backed by advanced technology, transparent pricing, and results that last. From local families to international patients, countless people have chosen us to design their confident smiles.
We know how to get it right first time, ensuring long lasting outcomes you can trust.