Every smile tells a story—explore our completed porcelain veneer cases and see transformations that delight.
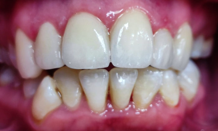
This young lady desirous of having a perfect smile came from overseas. 8 ceramic veneers lifted up her smile.
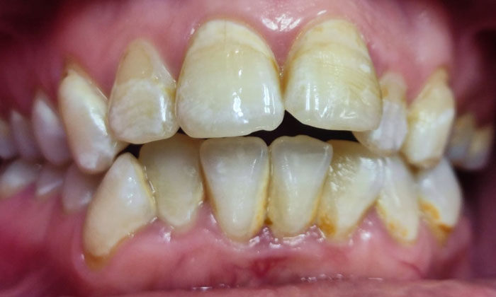
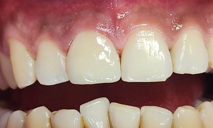
Lady’s reserved smile became joyous after getting 6 ceramic veneers done. Ceramic veneers are versatile and age is not a barrier for cosmetic dentistry


At Goel Dental, Dr. Shikha Goel combines advanced technology with artistic precision to design veneers that look natural, feel comfortable, and last for years.
Don’t just hide your smile — transform it.